Periodontitis

Periodontitis or periodontal (gum) disease is serious disease that results in major damage to the soft tissue and bone that support the teeth. In the worst cases, teeth are lost. Unfortunately, alot of people donesn't take that situation seriously enough until it's too late. Periodontitis is caused by bacteria which are coming from mucus and other particles which are constantly forming plaque that ends as tartar. Tartar can not be removed only by brushing, to get rid of it we need a professional cleaning by a dentist. If we don't react on time, first stage to the periodontitis is gingivitis.

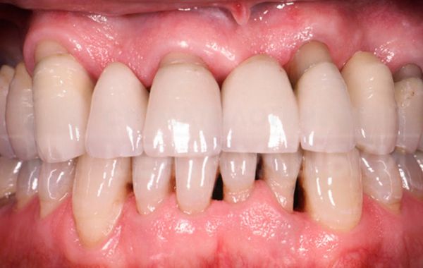
Gingivitis is inflammation of the gums caused by bacteria. It is a mild form of gum disease that can usually be reversed with daily brushing and flossing. You know that you have gingivitis when your gums become red, swollen and can bleed easily. Now is definitely time to act. If gingivitis is not treated, it can advance to periodontitis. Then the gums starts to pull away from the teeth forming space or pockets. If not treated, the bones, gums, and tissue that support the teeth are destroyed. The teeth may eventually become loose and have to be removed.

The number and types of treatment will vary, depending on the extent of the gum disease. The dentist removes the plaque through a deep-cleaning method called scaling and root planing. Scaling is scraping off the tartar from above and below the gums and root planing gets rid of rough spots on the tooth root where the germs gather, and helps remove bacteria that contribute to the disease.
Periodontitis