Immediate loading of dental implants

Immediate dental implants

Immediate dental implants

Immediate dental implants
IMMEDIATE LOADING OF DENTAL IMPLANTS IS A PROCEDURE THAT ALLOWS FOR MISSING DENTAL ELEMENTS TO BE REPLACED WITH PROSTHETIC ONES
This procedure replaces the deferred loading treatment that used to be one of the most performed procedures in modern dentistry. The difference between the two is that with deferred loading after an implant is inserted, the patient needs to wait for a period of time that ranges from 3 to 6 months before the rest of the prosthetic elements can be placed.

Immediate loading of dental implants is performed during only one treatment. The implants are placed and a temporary prosthetic element is positioned immediately after (in 24 hours' time) Considering the amount of time necessary to complete both procedures, the immediate loading implantology lasts from 3-4 months while the traditional implantology can take from 8 months to a maximum of 2 years.

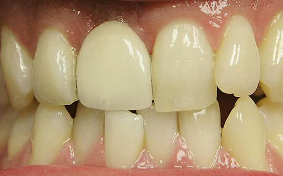
IMMEDIATE LOADING OF DENTAL IMPLANTS HAS MANY ADVANTAGES, IN TERMS OF TIME, USE AND AESTHETICS
The most important benefit for the patients is the immediate recovery of masticatory function and aesthetics. The most obvious benefit of immediate loading is represented by the fact that after the procedure the patient has fixed teeth: even if the patient has damaged teeth that need to be extracted, he only needs to wait for a few hours to have a new set of fixed teeth again.

In this way the patient does not have to adapt to temporary dentures which are often uncomfortable, especially for those who have always had their own teeth.

Another advantage is given by the fact that the fixed prosthesis protects the gums around the implant from masticatory trauma, therefore favours the proper healing of the soft tissues.

This type of procedure is also less invasive because it is completed in a single session, while the insertion of implants with the traditional method requires more treatments and a greater time for recovery.

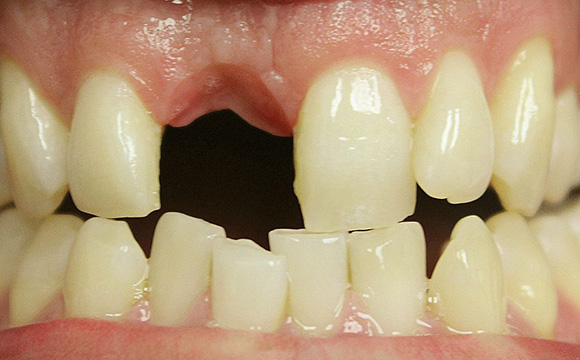
IT IS IMPORTANT TO KNOW THAT NOT EVERYBODY IS A GOOD CANDIDATE FOR IMMEDIATE LOADING OF DENTAL IMPLANTS
Immediate loading is an innovative technique which, in order to be successfully applied, requires training and competence. Precise and well-defined conditions need to be met in order for the fixed prosthesis to last. A favourable condition of the jaw bone is absolutely essential, but the quantity of the bone is in itself not enough, the quality of the bone is much more important. Furthermore, a succesfull treatment requires an appropriate bone densitiy in order to avoid the expulsion of the implants due to the resorption of the bone. The quantity and the quality of the bone can be checked using an OPG or a CAT scan.

USE OF BIOCOMPATIBILE TITANIUM IMPLANTS INCREASES THE PROBABILITY OF SUCCESS
The use of highly osseointegratable materials, such as titanium, results in increased safety and the success of the intervention.

With the deferred loading three to six months were needed to allow for the patients organism to bond perfectly with the foreign body inserted in the bones and the risk of rejection and therefore of the failure of the treatment was significant. The use of titanium elements has almost totally eliminated the phenomenon of rejection and now even a serious problem such as edentulism can be easily overcome with a single surgery.