Examples before and after

  • portfolio_1

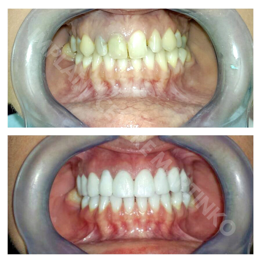
    1. In order to improve the aesthetics of the patient's smile the upper teeth have been filed down and covered with a combination of zirocnium and emax ceramic crowns. The teeth in the lower jaw have been whitened with a special laser.

  • portfolio_1

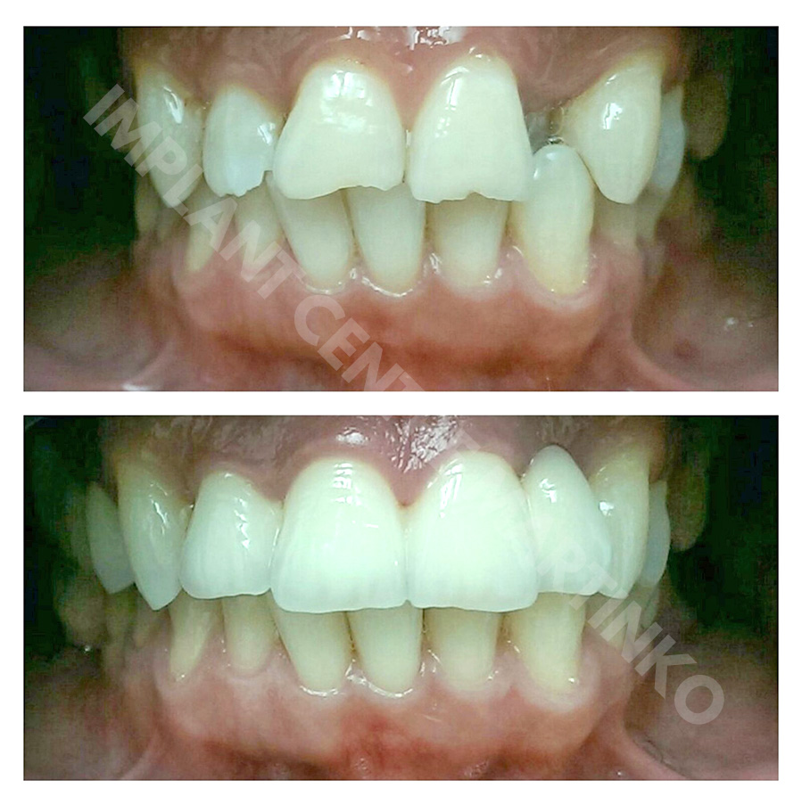
    2. The heavy abrasion of the front teeth has been resolved with a circular metal ceramic bridge. The treatment also served to correct the patient's bite.

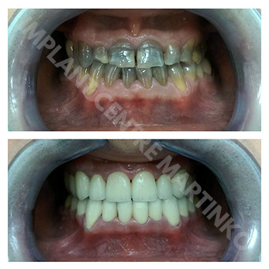
  • portfolio_1

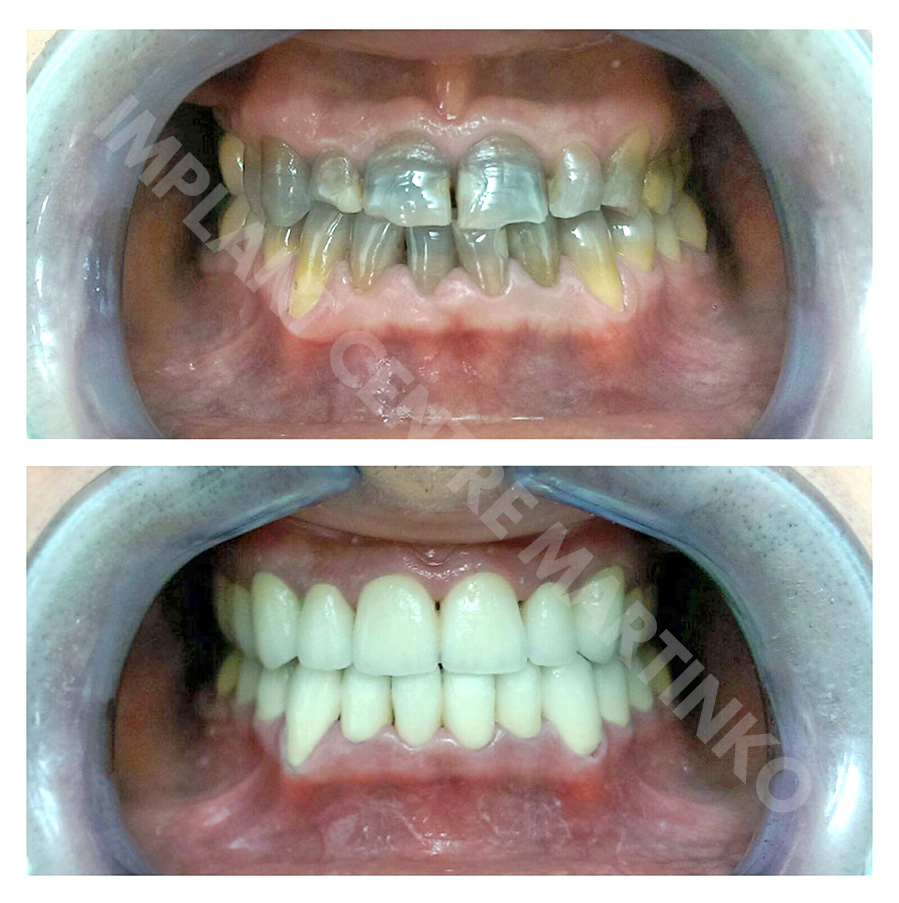
    3. Circular bridge on Straumann implants and metal ceramic crowns.

  • portfolio_1

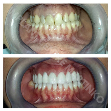
    4. Already devitalized anterior teeth have been filed down and covered with ceramic zirconium crowns.

  • portfolio_1

    5. Hypodontia (innate absence of teeth) of the upper incisors. The four front teeth were filed down and restored with ceramic zirconium crowns.

  • portfolio_1

    6. The patient's teeth were discoloured due to the mother's intake of antibiotics during pregnancy. The situation was risolved with two circular zirconium ceramic bridges.

  • portfolio_1

    7. Zirconium ceramic bridge.

  • portfolio_1

    8. Upper left incisor (22) has been extracted, other front teeth filed down and covered with four metal ceramic crowns.

  • portfolio_1

    9. For aesthetic reasons, four front teeth have been filed down and covered with zirconium ceramic crowns.

  • portfolio_1

    10. For aesthetic reasons, six front teeth have been filed down and covered with emax ceramic crowns.

  • portfolio_1

    11. Circular zirconia bridge on patient's own teeth. The patient was missing some teeth in the upper jaw but the remaining ones were healthy enough to be filed down and used as pillars for a new set of teeth created with 12 zirconia crowns.

  • portfolio_1

    12. All on 4 dental system in both jaws. Due to lack of usable teeth and advanced gum disease, the patient's remaining teeth had to be pulled out. In order to restore complete functionality of the patient's mouth 4 dental implants were inserted in each jaw to support a fixed All on 4 dental bridge.

  • portfolio_1

    13. All on 4 dental system in both jaws.

  • portfolio_1

    14. Zirconia circular dental bridge in upper jaw.

  • portfolio_1

    15. Zirconia circular dental bridge.

  • portfolio_1

    16. Zirconia circular dental bridge.