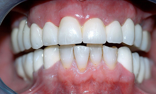
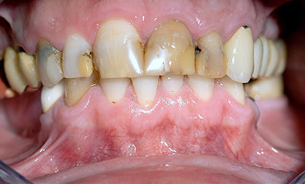
Dental bridges

The bridge is a dental restoration that replaces one or more missing teeth. A traditional bridge is made from a fake tooth and is attached to two crowns close, ie the two neighboring teeth that are filed.
If the gap between the teeth is not filled you risk the displacement of neighboring teeth that can lead to the loss of correct bite and to the development of periodontal disease. The dental bridges preserve the integrity and structure of the teeth.

Dental bridges
Dental bridges

Dental bridges
Dental bridges