Immediate dental implants

Placing the implant into the extraction wound

Immediate dental implants

Immediate dental implants

Immediate dental implants
Can an implant be placed immediately after extraction?

My answer is yes!
With the example shown below I will illustrate the success of this procedure compared to the traditional method, which normally allows a certain amount of time for the healing of the wounds. The immediate placement procedure is as safe as the traditional method, but there are some exceptions in highly aesthetic cases or when the teeth in question are in the front. The advantages of immediate placement are: one surgery, one anesthesia and a shorter recovery.

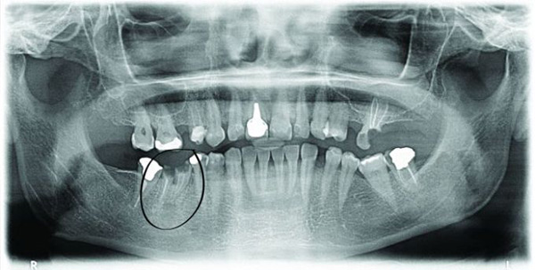
The first OTP image shows the remains of the tooth in position 46, infected and with broken roots. The only solution is extraction. If we were to proceed with the traditional method of root extraction, we would need to wait for 3 months before the wound was healed and we could place an implant. After the placement of the implant would have to wait for another 3 months before we could place the rest of the tooth on the implant. photo No.1.

From the next OPG image the infection is visible (small shadow) and it is a potential risk for the successful loading of the implant. The possible lack of bone caused by the infection is resolved with bone augmentation procedure performed using the artificial bone materials such as BoneCeramic, BioOss, ecc. However, the infection should not be a problem since with modern technologies and instruments it can be easily resolved. photo No. 2.

The last OPG image shows the implant (SP Straumann 4,1) 3 months after the extraction of the tooth and the placement of the implant. You can see that the implant has grown completely with the bone and that it is ready for the placement of the rest of the tooth. photo No. 3.

Conclusion:

In my experience, when the initial situation is not ideal, that is, when extraction wounds, infections or lack of bone tissue are present, only Straumann dental implants can guarantee a successful dental implantology treatment.

Dr. Damir Martinko