Dental crowns

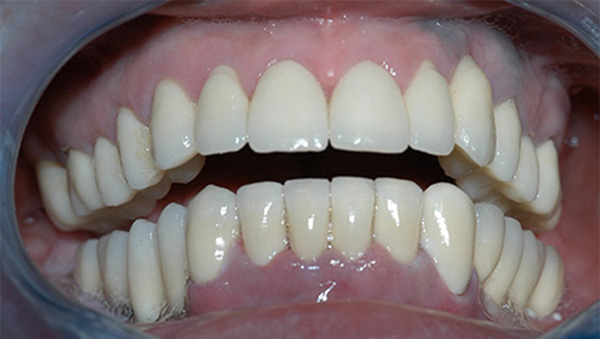
Dental crowns are artificial restorations that replace chipped, lost, broken or damaged teeth and are the ideal way to rebuild and strengthen a weakened tooth. A crown not only replaces a tooth but it also looks exactly the same.

Dental crowns can be made of metal-ceramic, metal-ceramic, zirconium-ceramic or they can be competely made of ceramic (all ceramic).
CERAMIC ZIRCONIUM CROWNS give our teeth a natural appearance with all types of ambient lighting.
Thanks to its properties, zirconium is a material which has led to a revolution in the field of dental proshetics
Advantages of zirconium are:

• Natural effect under all types of ambient lighting
• Biocompatibility
• Resistance

Dental crowns
Dental crowns
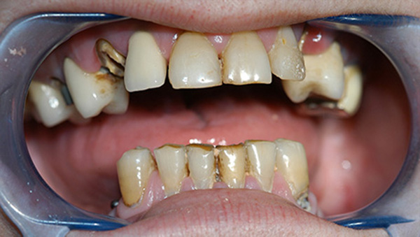
If a filling covers more than half of a tooth
When a tooth has a cavity or a fracture that involves half of the tooth, this tooth should be covered with a crown. The reason for it is that the rest of the tooth around the filling is weak and may break. Sometimes a large filling that has been in the mouth for a long time will also have to be replaced with a crown, because with time a tooth begins to show signs of distress and cracks around the filling.

After a root canal treatment:
Endodontic treatment of a tooth leaves it open and could cause the rest of the tooth to fracture. A tooth which has undergone a root canal should almost always be restored with a dental crown to prevent it from shattering.
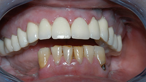
If the teeth have been worn out:
If a person has a habit of grinding their teeth, they will wear them out over time. The teeth can also be worn out as a result of acid erosion caused by acid reflux, bulimia, or an acidic diet. Over time, the bite may change, and the only way to restore it is to cover the teeth with crowns.

When we want to improve the aesthetics of our smile:
If we are not happy with our teeth because of their color, shape, or the space between them dental crowns can help us get the smile we want. Dental crowns are a very efficient solution both for preserving our teeth and improving their appearance .

Dental crowns
Dental crowns

Dental crowns
Dental crowns