Cleaning teeth

Let's start from everyday teeth hygiene, so are some tips on how to brush your teeth:

You should use soft-bristle toothbrush that would be replaced about every 3 months. When you’re brushing your teeth, make sure to angle your brush to 45 degree angle so it goes against your teeth and gums, move your toothbrush back and forth in small circles. The cleaning of the teeth and removal of plaque is mainly done by brushing properly along the gum line not by using more toothpaste! Too much toothpaste actually causes the cleaning to be less effective. The amount of tooth paste that will cover half of the brush head is good enough.

Try to avoid vigorous brushing. To stop plaque from forming between teeth you should flows your teeth daily and you will do a great job if you apply some toothpaste on the dental floss. You should know that tongue is the major source of plaque.
Scraping the tongue clean twice daily is essential oral hygiene. This is what you can do in your own home and now let see what you can do in your dentist's office.

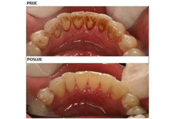
In your dentist's office you can get a professional tooth cleaning. You dentist will clean your teeth and remove soft and hard deposits from your teeth that cause cavities. You should have your teeth cleaned because that way you can prevent or delay the progression of gum diseases. How often you should clean your teeth in your dentist's office depends on the health of your teeth and gums. Healthy adults and children should do it once in a year or two. But if you are prone to gum infections or you are a smoker, you should do it more often. It is best to ask your dentist.

By visiting your dentist for cleaning you are avoiding all further complications.

Higijena zubi - čišćenje i održavanje zuba
Higijena zubi - čišćenje i održavanje zuba